Za medicinske stručnjake

U ovoj kategoriji pročitajte detaljne studije slučaja namijenjene medicinskim stručnjacima i obrazovnim publikacijama. Možete nam preporučiti pacijenta koji su mogli konzultirati.

Za medicinske stručnjake
Uputi pacijenta

Nakon što nas kontaktirate radi preporuke pacijenata, stručnjak za zdravstvene podatke će vas provesti kroz postupak i odgovoriti na vaša pitanja. Od vas će se možda tražiti da pošaljete medicinska izvješća i / ili dijapozitive o patologiji u Radichirurgiju kako biste osigurali da vaš pacijent zakaže odgovarajuću medicinsku uslugu i da zakažete bilo koja ispitivanja koja bi mogla biti potrebna kada pacijent dođe.

Obrazovne publikacije

Once you’ve contacted us to make a referral, a health information specialist will guide you through the process and answer your questions. You may be asked to send medical reports and/or pathology slides to Radichirurgia to ensure your patient is scheduled with the appropriate medical service and to pre-schedule any testing that might be needed when your patient arrives.

Studije slučaja

Prikaži sve
Limfni čvor
Limfni čvor
Limfni čvor
Bolesnik, rođen 1958. Dijagnoza:
Pluća
Pluća
Pluća
Bolesnica, rođena 1964. Dijagnoza: Npl recti
Jetra
Jetra
Jetra
Bolesnik, rođen 1971. Dijagnoza:
Jetra
Jetra
Jetra
Bolesnik, rođen 1947. Dijagnoza: Npl. vesicae fellae
Jetra
Jetra
Jetra
Bolesnik, rođen 1956. Dijagnoza:
Jetra
Jetra
Jetra
Bolesnik, rođen 1943. Dijagnoza:
Jetra
Jetra
Jetra
Bolesnica, rođena 1955.
Jetra
Jetra
Jetra
Bolesnik, rođen 1948. Dijagnoza: Npl hepatis recidivans (Adenoca vrs HCC)
Jetra
Jetra
Jetra
Bolesnik, rođen 1961. Dijagnoza:
Jetra
Jetra
Jetra
Bolesnik, rođen 1977. Dijagnoza:
Jetra
Jetra
Jetra
Bolesnica, rođena 1992. Dijagnoza:
Pluća
Pluća
Pluća
Bolesnica, rođena 1970. Dijagnoza: Melanoma chorioideae oculi lateris dextri
Pluća
Pluća
Pluća
Bolesnica, rođena 1958. Dijagnoza: Adenocarcinoma lobi inferioris pulmonis sinistri
Pluća
Pluća
Pluća
Bolesnica, rođena 1955. Dijagnoza:
Pluća
Pluća
Pluća
Bolesnik, rođen 1976. Rhabdomyosarcoma pleomorphe regionis subscapularis lateris sinistri
Pluća
Pluća
Pluća
Bolesnik, rođen 1945. Dijagnoza: Npl v. urinariae
Pluća
Pluća
Pluća
Bolesnica, rođena 1948.
Pluća
Pluća
Pluća
Bolesnica, rođena 1957. Npl oesophagi distalis
Pluća
Pluća
Pluća
Bolesnica, rođena 1958.
Pluća
Pluća
Pluća
Bolesnik, rođen 1959. Npl coloni sigmoidei
Limfni čvor
Limfni čvor
Limfni čvor
Bolesnik, rođen 1964. Dijagnoza:
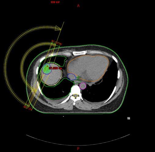
Gušterača
Gušterača
Gušterača
Bolesnica, rođena 1964. Dijagnoza: Npl renis lateris sinistri
Gušterača
Gušterača
Gušterača
Bolesnik, rođen 1955. Adenocarcinoma capitis pancreatis
Mozak
Mozak
Mozak
Bolesnica, rođena 1955. Adenocarcinoma pulmonis lateris dextri
Mozak
Mozak
Mozak
Bolesnik, rođen 1954. NSCLC pulmonis lateris sinistri
Jetra
Jetra
Jetra
Bolesnica, rođena 1957. Dijagnoza:
Jetra
Jetra
Jetra
Bolesnica, rođena 1967. Dijagnoza:
Jetra
Jetra
Jetra
Bolesnica, rođena 1979. Dijagnoza:
Pluća
Pluća
Pluća
Bolesnik, rođen 1989.
Pluća
Pluća
Pluća
Bolesnik, rođen 1965. Dijagnoza:
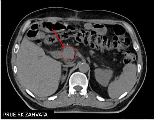
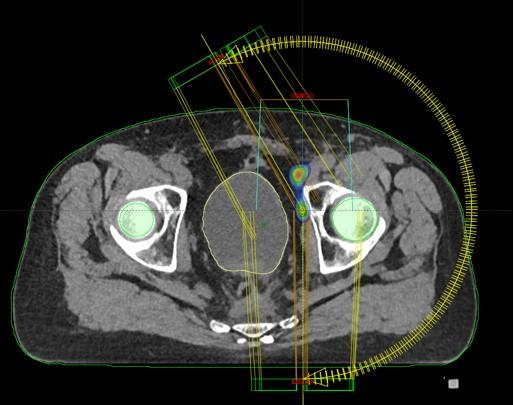
Prostata
Prostata
Prostata
Bolesnik, rođen 1951.
Prostata
Prostata
Prostata
Bolesnik, rođen 1954.
Prostata
Prostata
Prostata
Bolesnik, rođen 19
Prostata
Prostata
Prostata
Bolesnik, rođen 1945.
Prostata
Prostata
Prostata
Bolesnik, rođen 1950.
Limfni čvor
Limfni čvor
Limfni čvor
Bolesnica, rođena 1954. Dijagnoza:
Prostata
Prostata
Prostata
Bolesnik, rođen 1942.
Prostata
Prostata
Prostata
Bolesnik, rođen 1949.
Prostata
Prostata
Prostata
Bolesnik, rođen 1945.
Limfni čvor
Limfni čvor
Limfni čvor
Bolesnik, rođen 1949. Dijagnoza:
Limfni čvor
Limfni čvor
Limfni čvor
Bolesnica, rođena 1952. Dijagnoza: Melanoma reg. cruris dex (2014.)
Limfni čvor
Limfni čvor
Limfni čvor
Bolesnik, rođen 1964. Dijagnoza:
Pluća 46
Pluća
Pluća
Bolesnik, rođen 1945. Dijagnoza: Npl prostatae (2009.)
Pluća 32
Pluća
Pluća
Bolesnik, rođen 1968.
Pluća 31
Pluća
Pluća
Bolesnik, rođen 1954. Dijagnoza:
Pluća 30
Pluća
Pluća
Bolesnica, rođena 1945. Dijagnoza:
Pluća 29
Pluća
Pluća
Bolesnik, rođen 1949. Dijagnoza:
Pluća 21
Pluća
Pluća
Bolesnik, rođ. 1950. Dijagnoza:
Pluća 16
Pluća
Pluća
Bolesnica, rođena 1964. Adenocarcinoma bronchi lobi superioris lateris dextri
Pluća 15
Pluća
Pluća
Bolesnica, rođena 1942. Dijagnoza:
Pluća 14
Pluća
Pluća
Bolesnik, rođen 1955. Dijagnoza:
Pluća 12
Pluća
Pluća
Bolesnik, rođen 1938. Dijagnoza:
Pluća 11
Pluća
Pluća
Bolesnica, rođena 1948. Npl pulmonis
Pluća 10
Pluća
Pluća
Bolesnik, rođ. 1948. Dijagnoza:
Pluća 2
Pluća
Pluća
Bolesnik, rođ. 1960. Dijagnoza:
Jetra 58
Jetra
Jetra
Bolesnica, rođena 1972. Dijagnoza: Npl coloni sigmoidei (2019.)
Jetra 47
Jetra
Jetra
Bolesnik, rođen 1952. Dijagnoza:
Jetra 45
Jetra
Jetra
Bolesnik, rođen 1958. Dijagnoza:
Jetra 44
Jetra
Jetra
Bolesnica, rođena 1945. Dijagnoza: Npl. Hepatis/ Npl. Cholangiocellulare vrs.
Jetra 43
Jetra
Jetra
Bolesnica, rođena 1949. Dijagnoza:
Jetra 38
Jetra
Jetra
Bolesnica, rođena 1984. Dijagnoza: Npl coloni ascendentis (2019.)
Jetra 28
Jetra
Jetra
Bolesnica, rođena 1971. Dijagnoza:
Pluća 6
Pluća
Pluća
Bolesnica, rođena 1954. Dijagnoza: Adenoca mucinosum lobi sup pulm dex (2019.)
Mozak
Mozak
Mozak
Bolesnica, rođ. 1956. Dijagnoza:
Mozak
Mozak
Mozak
Bolesnica, rođena 1969.
Jetra 19
Jetra
Jetra
Bolesnica, rođena 1962.  
Jetra 17
Jetra
Jetra
Bolesnik, rođen 1962.
Jetra 7
Jetra
Jetra
Bolesnik, rođen 1954.
Gušterača
Gušterača
Gušterača
Bolesnik, rođen 1952.
Jetra
Jetra
Jetra
Bolesnica, rođena 1957.
Mozak
Mozak
Mozak
Bolesnica, rođena 1976.  
Pluća
Pluća
Pluća
Bolesnik, rođen 1950.
Pluća i medijastinum
Pluća
Pluća i medijastinum
Bolesnik, rođen 1967. Dijagnoza: Melanoma (1/2018) Meta cerebri multipl. Meta pulmonum multipl.
Gušterača
Gušterača
Gušterača
Bolesnica, rođena 1949.
Mozak
Mozak
Mozak
Bolesnik, rođ. 1973. Dijagnoza:
Jetra
Jetra
Jetra
Bolesnica, rođena 1977.

Sve što morate znati o liječenju u Radiochirurgiji Zagreb

Raspolažemo vrhunskom opremom za dijagnostiku i liječenje karcinoma uz pomoć kirurgije, radiokirurgije i radioterapije te uslugu stručnog tima hrvatskih i međunarodnih stručnjaka.