Bolesnica, rođena 1957.
Dijagnoza:
Npl ovarii lateris sinistri (2010.)
Adnexectomia lateris dextri (2010.)
Chemotherapia cum CC – 4 cy
Tm recid. in pelveos
Lap med. inf., adhesiolysis, resectio coloni rectosigmoidei cum T-T anastomosis (12.2.2018.)
Chemotherapia cum PC (14.3. – 7.7.2018.)
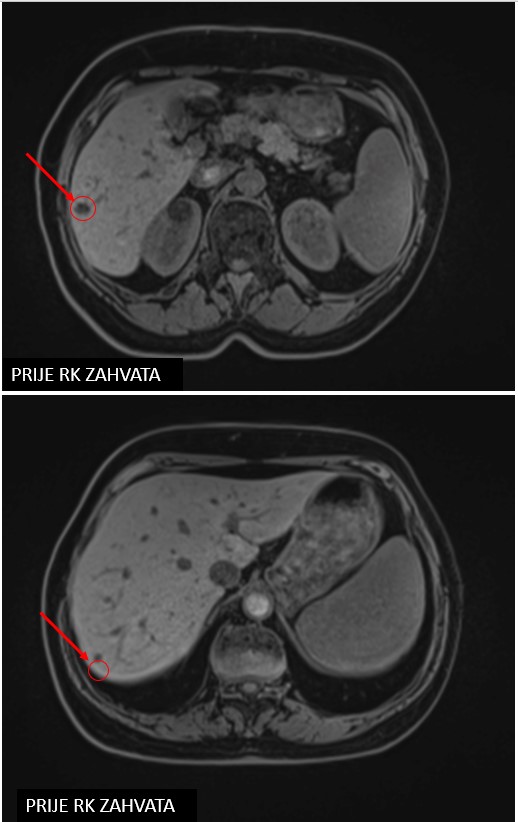
Meta hepatis
SBRT meta hepatis (07/2020, 10/2020, 06/2021, 10/2021, 06/2022)
Meta pulmonum
SBRT meta pulmonum (1/2022)
Chemotherapia cum cisplatin – 6 cy (18.7. – 14.11.2022.)
Chemotherapia cum ciklofosfamid (1-4/2023)

Rezultat – 35 mjeseci nakon RK
Potpuni nestanak tretiranih lezija