Bolesnik, rođen 1989.
Dijagnoza:
Schwannoma malignum manus sin
Amputatio digiti IV. et osiss meta carpi IV. (2008.)
Chemotherapia cum adriamycin (2009.)
Radiotherapia reg. manus sin (11./2008.)
Op. ppt tm recidivans (2013.)
Metastasectomia lobi inf pulm dex (2013.)
Chemotherapia cum docetaxel et gemcitabin (6 cy)
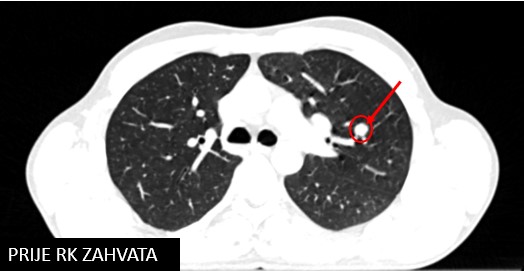
SBRT meta pulmonis (11/2018; 7/2019)
Rezultat – 51 mjesec nakon RK
Potpuni nestanak tretirane lezije