Pluća

Pluća

Pluća 11

Bolesnica, rođena 1948.

Npl pulmonis
Npl recti  Adenoca gr I      pT3N0    0/9    
Meta ossis pubis et pulmonis dex    
Resectio coli rectosygmoidei et formatio ileostomae protectivae, 26.5.2017. 
Radiochemotherapia adj., XI/2017  RT 45+5,4 Gy/ 28 fr.
Deileostomia, 15.12.2017.
SABR hili pulmonis et ossis pubis, SB Radiochirurgia, II/2019
SABR tumoris lobi sup pulmonis dex, SB Radiochirurgia, 29.1.2021.
Chemotherapia, 2017-2021
SABR metastasium pulmonis dex (4x), SB Radiochirurgia, 1/2022
SABR metastaseos pulmonis sin, SB Radiochirurgia, 14.2.2023.
SBRT npl pulmonis dex et meta pulmonis dex, SB Radiochirurgia, 6.4.2023.
Aloarthroplastica coxae dex, 10/2020

 

pluća 11

 

pluća 11 2

 

pluća 11 3

 

pluća 11 4

 

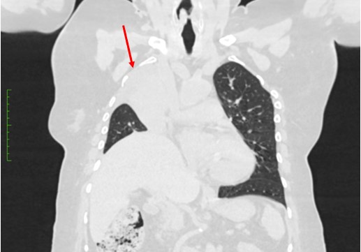
Rezultat – 3 mjeseca nakon RK

djelomično reventiliran desni gornji plućni režanj