Bolesnica, rođena 1962.
Dijagnoza:
Npl recti (7-8 cm od AK granice; 2018.)
Meta hepatis
Op. sec. Hartmann et metastasectomia seg. II et VI hepatis (18.5.2018.) PHD: adenoca recti, pT3N1aM1
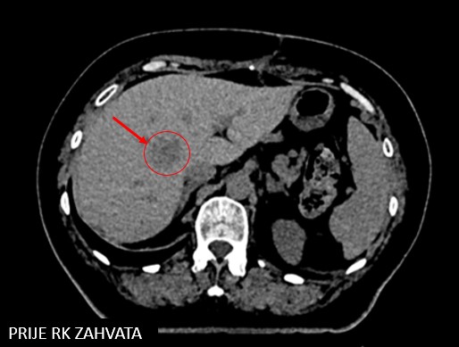
SABR meta seg. IVA hepatis (17.7.2018.)
Meta pulmonum
Meta Iymphonodi intraabd.
Chemobiotherapia cum FOLFOX + bevacizumab – 12 cy (9./2018—4./2019.)
Chemobiotherapia victam cum capecitabin+bevacizumab – 12 cy (5./2019.—1./2020.)
Chemobiotherapia cum CapeOx + bevacizumab – 3 cy (2. - 4./2020.)
Chemobiotherapia cum FOLFIRI + bevacizumab
Chemotherapia cum Lonsurf (1. – 5./2022.)
Meta cerebelli solitaria
Craniotomia retromastoidea L sin osteoplastica, ablatio tm (31.5.2023.)
Therapia cum regorafenib

Rezultat – 58 mjeseci nakon RK
Potpuni nestanak tretirane lezije