Bolesnik, rođen 1954.
Npl vesicae felleae Adenoca pT2bN0 0/11
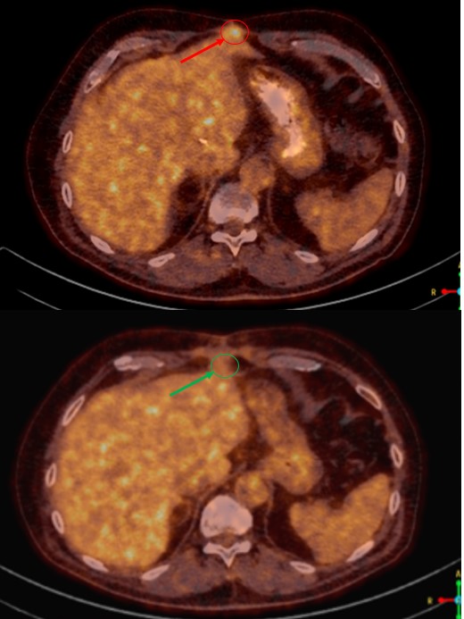
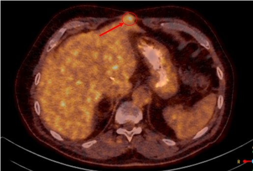
Meta hepatis
Meta pulmonis dex
Wedge resectio hepatis, 23.4.2020.
Lymphadenectomia lig. hepatoduodenale, resectio hepatis segmenti IVb et V, et hepaticojejunoanastomosia sec. Roux, 16.6.2020.
Chemotherapia adj., capecitabin, 8x -12/2020
SABR meta pulmonis dex et hepatis, SB Radiochirurgia, 7.5.2022.
Chemotherapia cum CG
Chemotherapia cum FOLFOX, 3x
Chemotherapia in tractu cum FOLFIRI

Rezultat – 13 mjeseci nakon RK
Potpuni nestanak tretirane lezije