Pluća

Pluća

Pluća 10

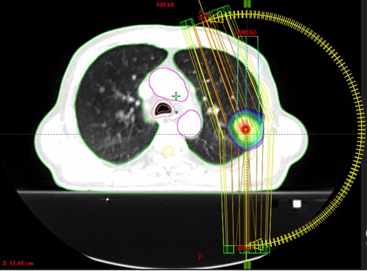
Bolesnik, rođ. 1948.

Dijagnoza:
Neoplasma lobi superioris pulmonis sinistri (12/2021)

PHD: Adenocarcinoma
SABR propter neopl. pulm. sin. (2/2022)

 

pluća 10

 

pluća 10 2

 

pluća 10 3

 

pluća 10 4

 

Rezultat – 4 mjeseca nakon RK

Smanjenje tumora za 80%