Bolesnik, rođen 1964.
Dijagnoza:
Adenocarcinoma oesophagi partis distalis pT3pN2 (2018.)
Meta hepatis
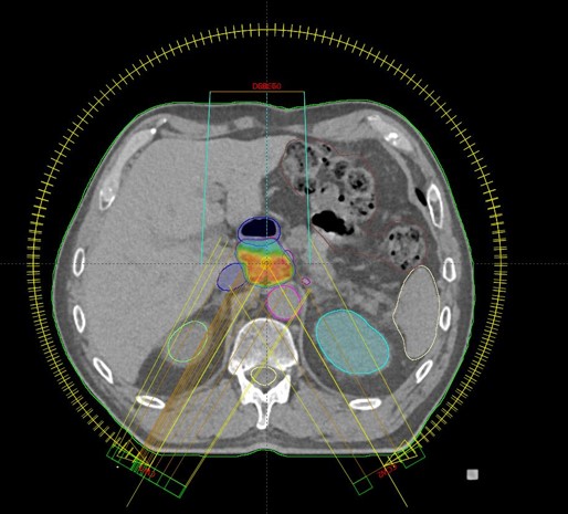
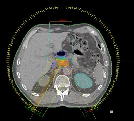
Meta lymphonodi intraabdominalis (uz truncus celiacus)
Oesophagectomia subtotalis et OEG anastomosis sec. Lewis Wong intrathoracalis ppt adenoca (19.2.2018.)
Chemoradiotherapia adj (TD 45Gy/25fx, kemoterapija: 5FU/LV x5cy (MacDonald protokol; 7/2018)
Recidivum locoregionalis (3/2020 – citološki: adenoca)
SBRT ppt recidivum locoregionalis tm oesophagei (30.09.2020. - 07.10.2020., TD 35 Gy/5 fr.)
SBRT lymphonodi intraabdominalis (22.11. - 26.11.2021.)
Chemotherapia cum CapeOx (5 cy; 6—9/2022)
Chemotherapia cum kapecitabin
SABR meta hepatis (16.03.-24.03.2023.)
Fractura costarum VII et VIII lateris sinistri (6/2018)
Hypertensio arterialis
 
 
 
 
Rezultat – 19 mjeseci nakon RK
Potpuni nestanak tretiranog limfnog čvora
 
          
        